Diş lezyonu, diş veya diş etlerinde meydana gelen herhangi bir anormal değişiklik veya bozukluk olarak tanımlanır. Bu durum, diş dokusunda, diş pulpasında (iç kısmında) veya diş etlerinde ortaya çıkabilir. Diş lezyonları, çeşitli nedenlerden kaynaklanabilir ve farklı şekillerde kendini gösterebilir.
Diş lezyonları, genellikle renk değişikliği, şekil bozukluğu, dişte çürük oluşumu, diş eti iltihabı veya diş kökü enfeksiyonu gibi belirtilerle kendini gösterir. Bu durumlar, dişlerinizin sağlığını ve görünümünü olumsuz yönde etkileyebilir.
Diş lezyonlarının erken teşhis edilmesi ve uygun tedavi yöntemlerinin uygulanması, dişlerinizin sağlığını korumak ve ağız hijyeninizi sürdürmek açısından oldukça önemlidir. Bu nedenle, düzenli diş kontrollerini yaptırmanız ve herhangi bir değişiklik fark ettiğinizde hemen bir diş hekimine başvurmanız önerilir.
Diş lezyonunun belirtileri nelerdir?
Diş lezyonları, çeşitli belirtilerle kendini gösterebilir. Bazı yaygın diş lezyonu belirtileri şunlardır:
- Renk değişikliği: Dişlerde beyaz, kahverengi, gri veya siyah lekeler oluşması.
- Şekil bozukluğu: Dişlerin şeklinde değişiklik veya deformasyonlar meydana gelmesi.
- Çürük oluşumu: Dişlerde çürük lekeleri veya çukurlar görülmesi.
- Diş eti iltihabı: Diş etlerinde kızarıklık, şişme, kanama veya hassasiyet.
- Diş kökü enfeksiyonu: Diş köklerinde ağrı, şişlik veya apse oluşması.
- Ağrı veya hassasiyet: Dişlerde veya diş etlerinde ağrı, hassasiyet veya acı hissi.
- Kötü koku veya tat: Ağızdan gelen kötü koku veya tat.
Bu belirtilerden herhangi birini fark etmeniz durumunda, hemen bir diş hekimine başvurmanız önerilir. Erken teşhis ve uygun tedavi, diş sağlığınızın korunması açısından oldukça önemlidir.

Diş lezyonunun nedenleri
Diş lezyonlarının çeşitli nedenleri olabilir. Bazı yaygın diş lezyonu nedenleri şunlardır:
- Plak birikimi ve bakteriyel enfeksiyonlar: Yetersiz ağız ve diş bakımı, düzenli diş temizliğinin yapılmaması, plak birikimi ve bakteriyel enfeksiyonlar diş lezyonlarına neden olabilir.
- Travma veya darbe: Dişlere gelen darbeler, kazalar veya diş kırılmaları diş lezyonlarına yol açabilir.
- Diyet ve beslenme: Şekerli, asitli ve renkli yiyecek ve içeceklerin aşırı tüketimi diş çürüklerine ve lezyonlarına neden olabilir.
- Genetik faktörler: Bazı diş lezyonları, kişinin genetik yapısıyla ilişkili olabilir.
- Yaşlanma: Diş ve diş eti dokularının yaşlanması, lezyonların oluşmasına katkıda bulunabilir.
- Tıbbi durumlar: Bazı hastalıklar, ilaçlar veya tıbbi tedaviler diş lezyonlarına neden olabilir.
- Kötü alışkanlıklar: Sigara, alkol, diş gıcırdatma gibi kötü alışkanlıklar da diş lezyonlarına yol açabilir.
Diş lezyonlarının nedenlerini belirlemek için, diş hekiminiz kapsamlı bir değerlendirme yapacaktır. Böylece uygun tedavi yöntemlerini belirleyebilecektir.
Diş lezyonu teşhisi ve tanısı
Diş lezyonlarının teşhisi ve tanısı için diş hekiminiz aşağıdaki adımları uygulayabilir:
- Görsel inceleme: Diş hekiminiz, dişlerinizi ve diş etlerinizi dikkatli bir şekilde inceler.
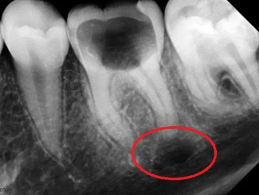
- Radyolojik tetkikler: Diş röntgenleri, bilgisayarlı tomografi (CT) veya manyetik rezonans görüntüleme (MRI) gibi radyolojik tetkikler yapılabilir.
- Laboratuvar testleri: Gerekli durumlarda, doku örnekleri veya kültürler alınarak laboratuvar testleri yapılabilir.
- Dental muayene: Diş hekiminiz, dişlerinizin yapısını, sertliğini, hassasiyetini ve diş etlerinizin durumunu inceleyecektir.
- Hasta hikayesi: Diş hekiminiz, lezyonun oluşum süreci, semptomlar, tıbbi geçmiş ve yaşam tarzı hakkında bilgi alacaktır.
Bu değerlendirme sonucunda, diş hekiminiz diş lezyonunun türünü, nedenini ve uygun tedavi yöntemlerini belirleyecektir. Erken teşhis, doğru tedavi planlaması açısından oldukça önemlidir.
Diş lezyonu tedavi yöntemleri
Diş lezyonlarının tedavisi, lezyonun türüne, ciddiyetine ve nedenine göre değişiklik gösterir. Bazı yaygın diş lezyonu tedavi yöntemleri şunlardır:
- Restoratif tedaviler: Çürük dişlerin dolgu veya kaplama ile onarılması.
- Endodontik tedaviler: Diş kökü enfeksiyonlarının kanal tedavisi ile tedavi edilmesi.
- Cerrahi tedaviler: Ciddi diş lezyonlarının cerrahi müdahale ile tedavi edilmesi, örneğin diş çekimi.
- Periodontal tedaviler: Diş eti hastalıklarının temizlik, ilaç tedavisi veya cerrahi yöntemlerle tedavi edilmesi.
- Estetik tedaviler: Diş renklerinin ağartılması, diş şekil bozukluklarının restorasyonu gibi estetik işlemler.
- Koruyucu tedaviler: Ağız hijyeninin iyileştirilmesi, florür uygulamaları, diyet değişiklikleri gibi önleyici tedbirler.
Diş hekiminiz, lezyonun durumuna göre en uygun tedavi yöntemini belirleyecek ve size önerecektir. Tedavi sürecinde, diş hekiminizin talimatlarına uymanız oldukça önemlidir.
Diş lezyonu temizliği ve bakımı
Diş lezyonlarının önlenmesi ve tedavisi için düzenli diş temizliği ve bakımı oldukça önemlidir. Aşağıdaki öneriler, diş lezyonlarını önlemek ve kontrol altında tutmak için yardımcı olabilir:
- Günlük diş fırçalama: Dişlerinizi en az günde iki kez (sabah ve akşam) fırçalayın.
- Diş ipi kullanımı: Dişlerinizin aralarındaki plağı temizlemek için diş ipi kullanın.
- Ağız gargarası: Ağız gargarası kullanarak ağzınızı ve diş etlerinizi temizleyin.
- Düzenli diş kontrolü: Yılda en az iki kez diş hekiminize kontrol olmayı ihmal etmeyin.
- Profesyonel diş temizliği: Diş hekiminizin önerdiği sıklıkta profesyonel diş temizliği yaptırın.
- Sağlıklı beslenme: Şekerli ve asitli yiyecek-içecekleri sınırlayın, sebze ve meyve tüketin.
- Sigara ve alkol tüketiminden kaçının: Sigara ve aşırı alkol tüketimi diş sağlığınızı olumsuz etkiler.
Düzenli diş bakımı ve temizliği, diş lezyonlarının oluşmasını önlemek ve kontrol altında tutmak için oldukça önemlidir.
Diş eti lezyonu ile diş kökü lezyonu arasındaki farklar
Diş lezyonları, diş etlerinde veya diş köklerinde meydana gelebilir. Bu iki tür lezyon arasındaki farklar şunlardır:
Diş eti lezyonu:
- Diş etlerinde kızarıklık, şişme, kanama veya hassasiyet görülür.
- Genellikle plak birikimi, enfeksiyon veya travma kaynaklıdır.
- Diş eti hastalıkları (gingivitis, periodontitis) olarak da adlandırılır.
- Tedavisi, diş temizliği, ilaç tedavisi veya cerrahi işlemler içerebilir.
Diş kökü lezyonu:
- Diş köklerinde ağrı, şişlik, apse veya enfeksiyon görülür.
- Genellikle diş çürükleri, travma veya endodontik problemlerden kaynaklanır.
- Diş kökü enfeksiyonları olarak da bilinir.
- Tedavisi, kanal tedavisi veya diş çekimi gibi cerrahi işlemler gerektirebilir.
Her iki lezyon tipi de farklı nedenler ve tedavi yöntemleri gerektirdiğinden, diş hekiminizin doğru teşhisi ve uygun tedavi planlaması oldukça önemlidir.
Diş lezyonu ameliyatı ve sonrası
Bazı diş lezyonları, cerrahi müdahale gerektiren durumlar olabilir. Diş lezyonu ameliyatları aşağıdaki durumlarda yapılabilir:
- Ciddi diş çürükleri: Dişin kurtarılamayacak derecede çürümüş olması durumunda, diş çekimi gerekebilir.
- Diş kökü enfeksiyonları: Diş kökü enfeksiyonlarının kanal tedavisi ile kontrol altına alınamadığı durumlarda, diş çekimi yapılabilir.
- Diş eti hastalıkları: İleri derecedeki diş eti hastalıklarında, cerrahi diş eti tedavileri uygulanabilir.
- Travma veya kırıklar: Dişlerde meydana gelen kırıklar veya travmalar, cerrahi onarım gerektirebilir.
- Estetik amaçlı işlemler: Diş renklerinin ağartılması, diş şekil bozukluklarının düzeltilmesi gibi estetik amaçlı cerrahi işlemler yapılabilir.
Diş lezyonu ameliyatı sonrasında, diş hekiminizin önerdiği bakım ve iyileşme sürecine uymanız oldukça önemlidir. Bu süreçte, ağrı kesici ilaçlar, antibiyotikler veya diğer tedavi yöntemleri kullanılabilir. Düzenli kontroller ve takip, iyileşme sürecini hızlandıracaktır.
Diş lezyonu nasıl geçer? Evde uygulanabilecek yöntemler
Bazı diş lezyonları, evde uygulanabilecek yöntemlerle hafifletilebilir veya geçirilebilir. Ancak, ciddi diş lezyonlarında mutlaka diş hekimine başvurmanız önemlidir. Evde uygulanabilecek bazı yöntemler şunlardır:
- Ağız bakımı: Düzenli diş fırçalama, diş ipi kullanımı ve ağız gargarası ile ağız hijyenini iyileştirmek.
- Sağlıklı beslenme: Şekerli, asitli ve renkli yiyecek-içecekleri sınırlamak, sebze ve meyve tüketimini artırmak.
- Ağrı kesici ilaçlar: Hafif ağrı ve hassasiyetlerde, diş hekiminizin önerdiği ağrı kesici ilaçları kullanmak.
- Soğuk uygulama: Diş etlerindeki şişlik veya ağrıyı azaltmak için soğuk uygulama yapmak.
- Florür uygulaması: Diş macunlarında veya ağız gargaralarında bulunan florürlerden yararlanmak.
Ancak, bu yöntemler yalnızca hafif diş lezyonlarında geçici rahatlama sağlayabilir. Ciddi diş lezyonlarında mutlaka diş hekimine başvurmanız gerekmektedir.
Diş lezyonu için profesyonel tedavi seçenekleri
Diş lezyonlarının tedavisi, lezyonun türüne, ciddiyetine ve nedenine göre değişiklik gösterir. Diş hekiminiz, aşağıdaki profesyonel tedavi se çeneklerinden size önerebilir:
- Restoratif Tedaviler:
- Çürük dişlerin dolgu veya kaplama ile onarılması
- Diş renklerinin ağartılması
- Diş şekil bozukluklarının düzeltilmesi
- Endodontik Tedaviler:
- Diş kökü enfeksiyonlarının kanal tedavisi ile tedavisi
- Apse veya granülom gibi problemlerin cerrahi olarak tedavisi
- Periodontal Tedaviler:
- Diş eti hastalıklarının (gingivitis, periodontitis) temizlik, ilaç tedavisi veya cerrahi yöntemlerle tedavisi
- Dişeti çekilmelerinin cerrahi onarımı
- Protetik Tedaviler:
- Eksik dişlerin köprü, protez veya implantlar ile restorasyonu
- Kırık veya aşınmış dişlerin kuron veya köprü ile onarılması
- Cerrahi Tedaviler:
- Gömülü veya çıkmamış dişlerin çekimi
- Diş kırıklarının onarımı
- Çene kemiklerindeki lezyonların cerrahi olarak tedavisi
Diş hekiminiz, sizin özel durumunuzu değerlendirerek en uygun tedavi yöntemini belirleyecek ve size önerecektir. Tedavi sürecinde, diş hekiminizin talimatlarına uymanız oldukça önemlidir.
Diş lezyonu önleme yöntemleri
Diş lezyonlarının oluşumunu önlemek için aşağıdaki yöntemleri uygulayabilirsiniz:
- Ağız Hijyeni: Günlük diş fırçalama, diş ipi kullanma ve ağız gargarası ile ağız temizliğinizi düzenli olarak yapın.
- Profesyonel Diş Temizliği: Yılda en az iki kez diş hekiminize kontrol olmayı ve profesyonel diş temizliği yaptırmayı ihmal etmeyin.
- Sağlıklı Beslenme: Şekerli, asitli ve renkli yiyecek-içecekleri sınırlayın, sebze ve meyve tüketiminizi artırın.
- Kötü Alışkanlıklardan Kaçının: Sigara, alkol ve diş gıcırdatma gibi kötü alışkanlıklardan uzak durun.
- Travmalardan Korunma: Dişlerinizi koruyacak ağız içi aparatlar kullanarak darbelerden koruyun.
- Düzenli Diş Kontrolleri: Yılda en az iki kez diş hekiminize kontrol olmayı aksatmayın.
- Florür Kullanımı: Florür içeren diş macunları, gargaralar veya florür uygulamaları dişlerinizi güçlendirir.
Diş lezyonlarını önlemek için bu yöntemleri uygulamak, hem ağız sağlığınızı hem de genel sağlığınızı koruyacaktır.
Diş lezyonuyla ilgili sık sorulan sorular
Soru: Diş lezyonları tehlikeli midir? Cevap: Diş lezyonları, erken teşhis edilip uygun şekilde tedavi edilmezse, ciddi sağlık sorunlarına yol açabilir. Bu nedenle, herhangi bir değişiklik fark ettiğinizde hemen diş hekiminize başvurmanız önemlidir.
Soru: Diş lezyonları nasıl önlenebilir? Cevap: Düzenli ağız bakımı, sağlıklı beslenme, kötü alışkanlıklardan kaçınma ve düzenli diş kontrolleri ile diş lezyonlarının oluşumu büyük ölçüde önlenebilir.
Soru: Diş lezyonları ağrılı mıdır? Cevap: Diş lezyonlarının ağrılı olup olmadığı, lezyonun türüne, ciddiyetine ve nedenine göre değişebilir. Bazı lezyonlar ağrısız olabilirken, bazıları şiddetli ağrıya neden olabilir.
Soru: Diş lezyonları ne kadar sürede geçer? Cevap: Diş lezyonlarının iyileşme süresi, lezyonun türüne, ciddiyetine ve uygulanan tedavi yöntemine göre değişir. Bazı hafif lezyonlar kısa sürede geçebilirken, ciddi lezyonların iyileşmesi daha uzun sürebilir.
Soru: Diş lezyonları kalıcı mıdır? Cevap: Diş lezyonlarının kalıcı olup olmaması, lezyonun türüne ve uygulanan tedavi yöntemine bağlıdır. Bazı lezyonlar tamamen iyileşebilirken, bazıları kalıcı hasara yol açabilir.
Diş lezyonları, diş veya diş etlerinde meydana gelen anormal değişiklikler olup, çeşitli belirtilerle kendini gösterebilir. Bu lezyonlar, plak birikimi, enfeksiyonlar, travmalar, beslenme alışkanlıkları ve tıbbi durumlar gibi birçok nedenden kaynaklanabilir. Diş lezyonlarının erken teşhisi ve uygun tedavisi, dişlerinizin sağlığını korumak ve ağız hijyenini sürdürmek açısından oldukça önemlidir. Düzenli diş bakımı, sağlıklı beslenme ve kötü alışkanlıklardan kaçınma, diş lezyonlarının oluşumunu önlemede yardımcı olacaktır. Diş lezyonlarınızla ilgili herhangi bir endişeniz olduğunda, hemen bir diş hekimine başvurmanız önerilir. Diş hekiminiz, kapsamlı bir değerlendirme sonucunda en uygun tedavi yöntemini belirleyecek ve sizi sağlıklı dişlere kavuşturacaktır.
Nova Diş, diş lezyonlarınızın tedavisi için uzman kadrosuyla hizmetinizdedir. Randevu almak ve daha fazla bilgi edinmek için hemen bizi arayın!
English
العربية
български
